인간 최초! 뇌에서 꿈틀댄 기생충의 충격적 실체와 감염 경로
야생 채소 섭취 후 발생한 희귀 기생충 감염
호주에서 60대 여성이 집 주변 야생 채소를 먹은 후 희귀 기생충에 감염된 사례가 보고되었습니다. 이 여성은 3주간의 복통, 설사, 마른기침, 야간 발한 증상을 겪었으며, 폐와 간, 비장에서도 손상된 조직이 발견되었습니다. 초기에는 호산구성 폐렴으로 진단받았으나, 스테로이드 치료에도 불구하고 증상이 호전되지 않아 추가적인 검사가 진행되었습니다. 이 사례는 인간에게서 처음으로 확인된 '오피다스카리스 로베르치'라는 기생충에 의한 감염으로 밝혀져 학계의 큰 관심을 받고 있습니다.

진단과 치료의 어려움, 그리고 뇌 침투
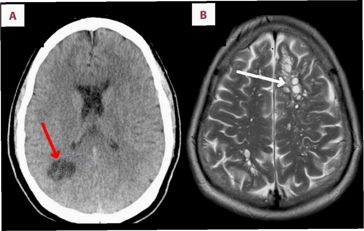
환자는 여러 검사에도 불구하고 기생충 감염의 명확한 흔적을 찾기 어려웠습니다. 세균, 곰팡이, 기생충 항체 검사 등에서 음성 반응이 나왔고, 구충제 처방에도 호흡기 증상이 쉽게 가라앉지 않았습니다. 수개월간 증상이 지속되면서 환자는 우울감과 기억상실까지 겪게 되었습니다. 결국 뇌 MRI 검사를 통해 우측 전두엽에서 병변이 발견되었고, 뇌 조직 검사 결과 살아있는 기생충이 확인되었습니다. 의료진은 뇌 조직에서 약 80mm 길이의 기생충을 제거하는 수술을 시행했습니다.

감염 경로 추정: 야생 채소와 카펫비단뱀
이 기생충은 원래 호주에 서식하는 카펫비단뱀에 기생하는 선충의 유충 단계로 알려져 있습니다. 환자는 뱀과의 직접적인 접촉은 없었지만, 집 주변에서 야생 채소를 자주 채취해 먹었다고 진술했습니다. 의료진은 환자가 기생충 알에 오염된 식물을 만지거나 섭취함으로써 감염되었을 가능성이 높다고 추정했습니다. 이 기생충 유충은 실험용 쥐에서 4년 이상 생존하는 것으로 알려져 있으나, 인간의 뇌에서 발견된 사례는 이번이 처음입니다.

성공적인 치료와 회복 과정
뇌에서 기생충을 제거하는 수술과 함께 구충제 및 항염증제 치료가 병행되었습니다. 수술 후 6개월이 지나자 환자의 폐와 간 병변은 사라졌고, 백혈구 수치도 정상으로 돌아왔습니다. 또한, 신경정신과적 증상이었던 우울감과 기억상실도 호전되는 경과를 보였습니다. 이 성공적인 치료 사례는 희귀 기생충 감염의 진단과 치료에 대한 중요한 정보를 제공합니다.

인간 최초 뇌 기생충 감염, 야생 채소 섭취가 원인!
호주에서 야생 채소를 섭취한 여성이 인간에게 처음으로 보고된 희귀 기생충에 감염되어 뇌까지 침투한 충격적인 사례가 발생했습니다. 수개월간의 고통과 진단 어려움 끝에 뇌 수술로 기생충을 제거했으며, 이후 성공적으로 회복했습니다. 이 사건은 야생 식재료 섭취 시 위생과 안전에 대한 경각심을 일깨워줍니다.

궁금해하실 만한 점들
Q.이 기생충이 인간에게 위험한가요?
A.이 기생충은 인간에게 처음 감염된 사례로, 뇌 침투 시 심각한 신경학적 증상을 유발할 수 있습니다. 따라서 감염 시 즉각적인 의료적 조치가 필요합니다.
Q.야생 채소를 먹어도 안전한가요?
A.야생 채소는 기생충 알이나 병원균에 오염되었을 가능성이 있으므로, 섭취 전 반드시 깨끗하게 세척하고 익혀 먹는 것이 안전합니다.
Q.기생충 감염을 예방하려면 어떻게 해야 하나요?
A.날음식 섭취를 줄이고, 조리 시에는 충분히 익혀야 합니다. 또한, 야생에서 채취한 식재료는 철저히 세척하고 소독하는 것이 중요합니다.
